Patients have experienced deterioration in vision relating to a batch of lens implants.
Recent press has highlighted a batch of lenses used during cataract surgery, to be causing a decrease in vision. Typically the change is noticed at 36 months, where postoperative opacification has compromised the optical quality of the lens.
 |
| Photo taken under Infra Red light. You can see the plastic implant of the lens, sitting just behind the iris. The coloured part of the eye. The lens is clear when it is first implanted, here there is a thickening of the old cataract skin. This is the common PCO - posterior capsular opacification. |
Patients affected with reduced vision should contact one of our optometrist for further advice. The plastic lenses can become opaque after cataract surgery, in a process called PCO - posterior capsule opacification. It is a fairly common complication of cataract surgery and its treatment is simple and painless. The skin of the cataract which is left after surgery can sometimes thicken and degrade vision. A laser procedure is done in the outpatient clinic, which removes some of the thickened cloudy lens capsule. Treatment is quick and effective, returning vision to what is was like just after surgery.
 |
| The Oculentis implant sits behind the iris, in place of the cloudy natural lens. |
 |
| The clouded implant lens, currently under recall. |
Should the plastic lens by the problem a referral will be made. An ophthalmologist will advise on the best course of action and whether lens exchange would be an option. In some patients, the eye is too fragile and further surgery would not improve vision.
800 people are thought to be affected. Oculentis, the lens manufacturer claims there may be a problem with interaction the lens surface. There is evidence some people may be predisposed to the problem or even that certain medications are playing a factor.
 |
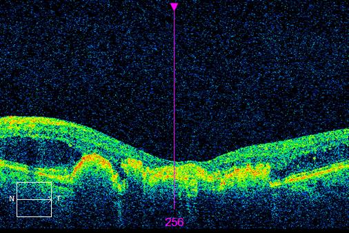
| OCT scan of the retina. The dip is a natural occurrence, where central vision is located. Imaged beneath are small, black void like spaces. These are filled with fluid and is called, macula oedema. |
 |
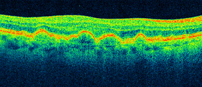
| An OCT scan of the other eye, in the same patient. The natural valley or dip for central vision, without any oedema or fluid filled spaces. |
It is important to rule out macula oedema as the cause of reduced vision post surgery. Patients should undergo a thorough slit lamp examination and have an OCT scan. Which immediately shows any fluid or swelling in the macula, which is the part of the retina used for central vision. Macula oedema or fluid in the retina is a possible complication of surgery and should be checked an monitored.
If you are experiencing any degradation in vision, come and speak to one of our optometrists who will complete a comprehensive post surgery check. OCT scans are now available at all of our practices.